Il benessere della bocca non dipende solo da spazzolino e dentifricio: le abitudini quotidiane, come il consumo di sigarette e alcol, giocano un ruolo fondamentale. Comprendere gli effetti di queste sostanze è il primo passo per prendersi cura della propria salute orale in modo consapevole.
Fumo e Salute Orale: Un Nemico Silenzioso
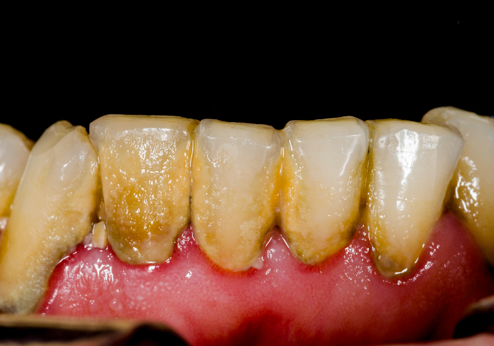
Macchie sui denti e alitosi persistente
Il fumo contiene nicotina e catrame, sostanze che si depositano sullo smalto dei denti causando discromie, cioè macchie giallastre o brunastre difficili da rimuovere con la semplice igiene domiciliare. Inoltre, il fumo riduce la salivazione e favorisce l’alterazione della flora batterica orale, portando a alitosi cronica.

Il tabacco provoca un restringimento dei vasi sanguigni nelle gengive, ostacolando la circolazione. Questo significa che la bocca fatica a guarire dopo interventi o traumi, aumentando il rischio di infezioni.
Parodontite e perdita dei denti
Il fumo è uno dei principali fattori di rischio per la malattia parodontale, una condizione che colpisce il tessuto di sostegno del dente. I fumatori hanno un rischio fino a tre volte maggiore di sviluppare gengivite e parodontite, con possibile mobilità dentale e perdita definitiva dei denti.

Alcol e Igiene Orale: Un Effetto Spesso Sottovalutato
Alcol e disidratazione della mucosa orale
L’alcol ha un effetto disidratante sulla mucosa orale, riducendo la produzione di saliva. La saliva è un importante meccanismo di difesa naturale perché aiuta a neutralizzare gli acidi e ridurre i batteri. Una bocca secca è più vulnerabile a carie e irritazioni.

Aumento della placca batterica
Molte bevande alcoliche, soprattutto i cocktail zuccherati, favoriscono la formazione di placca e tartaro. Se non rimossi, questi depositi contribuiscono a infiammazione gengivale e aligenesi cariosa.

Irritazione delle gengive e delle mucose
L’alcol può causare irritazioni e infiammazioni alle gengive, rendendole più sensibili, arrossate e soggette a sanguinamento, soprattutto in presenza di scarsa igiene orale.
L’alcol può causare irritazioni e infiammazioni alle gengive, rendendole più sensibili, arrossate e soggette a sanguinamento, soprattutto in presenza di scarsa igiene orale.
Fumo, Alcol e Tumori del Cavo Orale
L’associazione tra tabacco e alcol rappresenta uno dei principali fattori di rischio per lo sviluppo di lesioni precancerose e tumori del cavo orale. La contemporanea assunzione di entrambe le sostanze moltiplica il rischio, poiché l’alcol rende le mucose più permeabili, facilitando l’assorbimento di queste sostanze nocive e in quanto il fumo introduce agenti cancerogeni.

Come Proteggere la Salute Orale se si Fuma o si Consuma Alcol

Consigli pratici per ridurre i danni
Consultare il dentista in caso di fastidi continuativi, senza attendere che il problema peggiori.
Spazzolare i denti dopo ogni pasto, utilizzando anche il filo interdentale.
Idratarsi frequentemente per contrastare la secchezza orale.
Programmare sedute di igiene professionale dal dentista almeno ogni 6 mesi.
Monitorare eventuali cambiamenti come macchie, gengive che sanguinano o irritazioni persistenti.
Il Ruolo del Dentista nella Prevenzione
Il professionista odontoiatra ha un ruolo fondamentale non solo nel trattamento, ma anche nella prevenzione e nell’educazione sanitaria. Durante la visita, il dentista può:
Fornire indicazioni comportamentali nel pieno rispetto della deontologia medica, informando il paziente senza giudicarlo, ma accompagnandolo in un percorso di consapevolezza.
Valutare lo stato delle mucose e delle gengive.
Identificare precocemente eventuali lesioni sospette.
Offrire supporto e programmi personalizzati per la riduzione o cessazione del fumo
Conclusione: La Consapevolezza è Prevenzione
Fumo e alcol possono compromettere seriamente la salute orale, ma con una corretta informazione e l’aiuto del dentista è possibile prevenire danni permanenti. Prendersi cura della propria bocca significa migliorare non solo l’aspetto estetico, ma anche la qualità della vita e la salute generale.
Riproduzione riservata ©

