Comprendere il ruolo dell’ortodonzia nella salute della bocca
Quando si parla di ortodonzia, si pensa spesso ai denti allineati e al sorriso armonioso. In realtà il suo ruolo è molto più ampio e riguarda il modo in cui i denti si incontrano tra loro, come si distribuiscono le forze durante la masticazione e persino il benessere delle articolazioni della mandibola.

Una bocca non correttamente allineata non è solo una questione estetica. Può creare piccoli squilibri che, nel tempo, influenzano la funzione dei denti e la loro durata. Anche una masticazione non equilibrata può contribuire a un’usura irregolare, rendendo alcuni denti più fragili di altri.
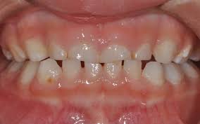
Malocclusione: quando i denti non si incontrano nel modo giusto
La malocclusione è una delle situazioni più comuni che richiedono un trattamento ortodontico. Si tratta di un disallineamento tra le arcate dentali che porta i denti a chiudersi in modo non armonico.

Quando questo equilibrio viene meno, la bocca si adatta come può. Alcuni denti finiscono per lavorare più degli altri, mentre altri vengono “risparmiati”. Nel tempo questo squilibrio può portare a un consumo irregolare dello smalto, con conseguenze che diventano sempre più evidenti con il passare degli anni.

Anche la pulizia quotidiana può diventare meno efficace, perché i denti accavallati o ruotati creano zone difficili da raggiungere. Questo favorisce l’accumulo di placca e aumenta il rischio di carie e infiammazioni gengivali.
Ortodonzia e articolazione mandibolare: un equilibrio delicato
Un altro aspetto spesso sottovalutato riguarda l’articolazione temporo-mandibolare, quella che permette i movimenti della mandibola. Quando la chiusura della bocca non è corretta, questa articolazione può lavorare in modo non equilibrato.

Nel tempo possono comparire fastidi durante la masticazione, tensioni muscolari e una sensazione di stanchezza nella zona della mandibola. In alcuni casi si possono avvertire anche piccoli “click” o rumori durante l’apertura e la chiusura della bocca.
L’ortodonzia interviene proprio per ristabilire un equilibrio funzionale, riducendo questi sovraccarichi e migliorando il modo in cui la bocca lavora nel suo insieme.
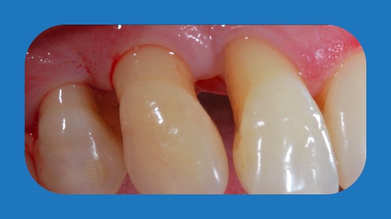
Il legame tra denti disallineati e salute delle gengive
Quando i denti non sono ben allineati, le gengive possono essere sottoposte a stress irregolari. Alcune zone vengono sollecitate di più, altre meno, e questo squilibrio può favorire infiammazioni localizzate. La difficoltà nella pulizia quotidiana contribuisce ulteriormente a questo processo. Il risultato può essere una gengiva più sensibile, che sanguina facilmente e che, se trascurata, può evolvere in problematiche più serie come la parodontite.
In questo senso, l’ortodonzia non riguarda solo l’estetica, ma diventa un supporto concreto alla salute del tessuto che sostiene i denti.
Sbiancamento dentale: estetica e attenzione alla sicurezza
Accanto all’ortodonzia rientrano spesso anche trattamenti estetici come lo sbiancamento dentale. Si tratta di una procedura che mira a migliorare il colore dei denti, rendendo il sorriso più luminoso. Quando eseguito correttamente e sotto controllo professionale, lo sbiancamento è sicuro e ben tollerato. Il problema nasce quando si utilizzano prodotti non controllati o rimedi fai-da-te, spesso reperiti senza indicazioni precise.

In questi casi lo smalto può diventare più sensibile e i denti possono reagire con fastidio al caldo e al freddo. Anche se il risultato estetico può sembrare immediato, la struttura del dente rischia di essere indebolita.
Protesi dentali: quando il recupero funzionale diventa essenziale
Le protesi dentali, sia fisse che mobili, rappresentano una soluzione importante quando uno o più denti vengono a mancare. Non si tratta solo di ripristinare l’estetica del sorriso, ma soprattutto di restituire una funzione corretta alla masticazione. Quando una protesi non viene utilizzata, non viene controllata o non viene aggiornata nel tempo, la bocca può andare incontro a cambiamenti graduali. I denti vicini tendono a spostarsi, la masticazione diventa meno efficiente e l’equilibrio generale dell’arcata si modifica.

Anche l’osso che sosteneva il dente può ridursi lentamente, creando nel tempo una struttura meno stabile.
Chirurgia orale e trattamenti necessari: il ruolo del tempismo
In alcuni casi, per preservare la salute della bocca, è necessario ricorrere alla chirurgia orale, come nelle estrazioni di denti compromessi. Quando queste indicazioni vengono rimandate, il problema di partenza può evolvere.

Un dente che dovrebbe essere rimosso ma rimane in sede può diventare fonte di infezioni, dolore e danni ai denti vicini. Anche l’infiammazione può estendersi, rendendo più complesso l’intervento successivo. La chirurgia orale, se eseguita nei tempi corretti, ha proprio lo scopo di prevenire complicazioni più ampie.
Parodontologia: la salute delle gengive come base del sorriso
La parodontologia si occupa dei tessuti che sostengono i denti, in particolare gengive e osso. Quando queste strutture si indeboliscono, il dente perde stabilità. Le infiammazioni gengivali iniziali possono sembrare lievi, ma se non trattate possono evolvere lentamente. Le gengive si ritirano, i denti possono diventare mobili e, nei casi più avanzati, si può arrivare alla perdita dentale.

La cura delle gengive è quindi una parte essenziale della salute orale complessiva e si integra strettamente con tutte le altre discipline odontoiatriche.
Un equilibrio che si costruisce nel tempo
L’ortodonzia e le altre cure odontoiatriche non sono interventi isolati, ma elementi di un sistema più ampio che riguarda la funzionalità della bocca nel suo insieme. Ogni trattamento contribuisce a mantenere un equilibrio che, una volta perso, richiede più tempo e più attenzione per essere recuperato. La bocca lavora ogni giorno senza sosta e ogni piccolo squilibrio, se ignorato, tende a diventare più evidente nel tempo. Intervenire in modo tempestivo significa accompagnare questo sistema nel suo funzionamento naturale, evitando che piccoli problemi si trasformino in situazioni più complesse.
Riproduzione riservata ©

