La radiografia endorale è uno degli esami diagnostici più utilizzati in odontoiatria. Si tratta di un’indagine radiologica semplice, rapida e sicura, che permette al dentista di osservare in dettaglio denti e strutture ossee non visibili a occhio nudo.

Che cos’è la radiografia endorale
La radiografia endorale è un esame radiologico intraorale, cioè eseguito con una piccola pellicola o sensore digitale posizionato all’interno della bocca, vicino ai denti da esaminare.

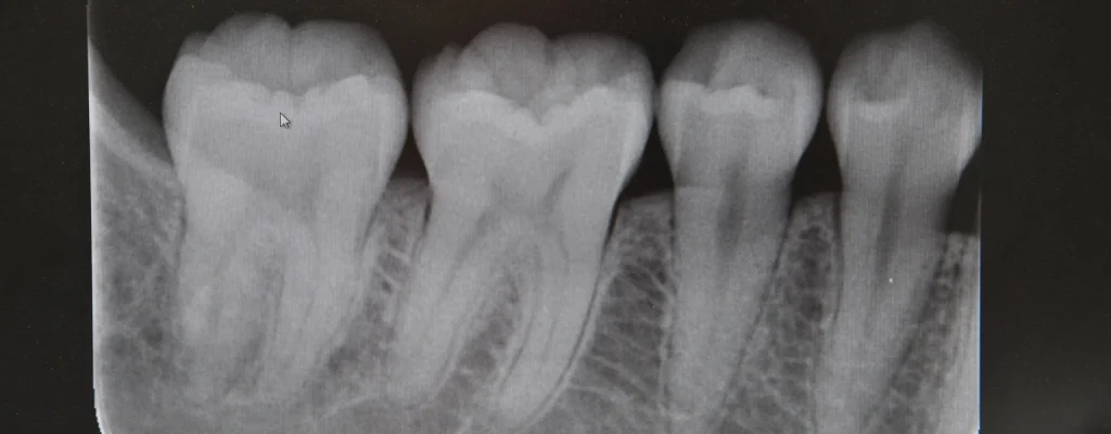
Grazie a questo esame, il dentista può visualizzare:
- la corona del dente
- la radice
- l’osso che sostiene il dente
- lo spazio tra un dente e l’altro
Si tratta di immagini molto dettagliate, fondamentali per una diagnosi corretta e per pianificare eventuali trattamenti.
A cosa serve la radiografia endorale
La radiografia endorale consente di individuare problemi che non sono visibili durante una semplice visita clinica. Anche un dente apparentemente sano può nascondere alterazioni interne o sotto la gengiva.

Tra le principali finalità della radiografia endorale troviamo:
- individuare carie nascoste o profonde
- valutare infezioni alla radice del dente
- controllare lo stato dell’osso
- monitorare denti già curati
- pianificare trattamenti odontoiatrici in modo accurato
È uno strumento diagnostico, non terapeutico, e viene utilizzato solo quando clinicamente indicato.
Quando è indicata la radiografia endorale
La radiografia endorale viene prescritta dal dentista in base alle reali necessità cliniche del paziente, nel rispetto del principio di appropriatezza e di radioprotezione.
In presenza di dolore o fastidio dentale
Quando un paziente avverte dolore persistente, sensibilità al caldo o al freddo, oppure fastidio durante la masticazione, la radiografia endorale aiuta a identificarne la causa.
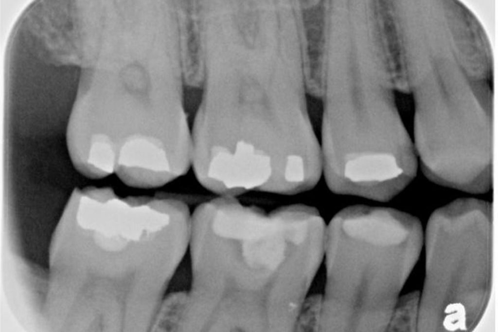
Per la diagnosi delle carie
Alcune carie, soprattutto quelle tra un dente e l’altro, non sono visibili a occhio nudo. La radiografia endorale permette di scoprirle in fase precoce.
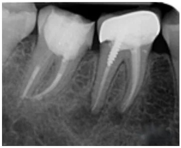
Prima e durante le cure canalari
Durante una devitalizzazione, la radiografia endorale è essenziale per valutare la lunghezza e la forma delle radici e per controllare l’efficacia del trattamento.

Nei controlli periodici
In pazienti con particolari condizioni o predisposizioni, il dentista può ritenere utile eseguire radiografie endorali di controllo a intervalli appropriati.
La radiografia endorale è sicura?
Sì, la radiografia endorale è considerata un esame sicuro, soprattutto grazie alle moderne tecnologie digitali che utilizzano dosi di radiazioni molto basse.
Secondo i principi della deontologia medica odontoiatrica:
- l’esame viene eseguito solo se necessario
- la dose di radiazioni è la più bassa possibile
- il beneficio diagnostico deve essere superiore al rischio
In caso di gravidanza, è fondamentale informare sempre il dentista, che valuterà attentamente l’opportunità dell’esame.
Come si svolge l’esame
La procedura è semplice e veloce:
- Il dentista o l’assistente posiziona il sensore all’interno della bocca;
- Il paziente viene invitato a restare fermo per pochi secondi;
- L’immagine viene acquisita immediatamente;
- Il risultato è disponibile in tempo reale

L’esame è generalmente indolore e ben tollerato dalla maggior parte dei pazienti.
Differenza tra radiografia endorale e altre radiografie dentali
È importante non confondere la radiografia endorale con altri esami radiologici odontoiatrici, come:
- ortopantomografia: offre una visione generale di tutta la bocca
- teleradiografia: utilizzata soprattutto in ortodonzia
La radiografia endorale, invece, è mirata e dettagliata, ideale per analizzare uno o pochi denti specifici.
Perché è uno strumento fondamentale in odontoiatria
La radiografia endorale consente al dentista di:
- formulare diagnosi più precise
- evitare trattamenti inutili
- intervenire tempestivamente
- monitorare l’evoluzione delle cure
Il suo utilizzo rientra in una odontoiatria moderna, basata su evidenze scientifiche e sulla tutela della salute del paziente.
Conclusione
La radiografia endorale è un esame diagnostico indispensabile per la prevenzione, la diagnosi e il controllo di molte patologie dentali. È semplice, rapida e sicura, se utilizzata correttamente e solo quando indicata.
Comprendere il motivo per cui viene prescritta aiuta il paziente a vivere la cura odontoiatrica con maggiore consapevolezza e serenità, nel rispetto di un rapporto basato su fiducia, informazione e professionalità.
Riproduzione riservata ©
