Le festività che scandiscono l’inverno e l’inizio della primavera portano con sé tradizioni culinarie difficili da ignorare. Tra Natale e Pasqua, il susseguirsi di pranzi, dolci tipici e momenti conviviali modifica in modo sensibile le abitudini alimentari. Questo cambiamento, spesso prolungato per settimane, non riguarda soltanto il girovita ma coinvolge in maniera diretta anche la salute del cavo orale. Anche in assenza di sintomi evidenti, denti e gengive possono subire trasformazioni silenziose che meritano attenzione.

Zuccheri frequenti e attacco allo smalto
Uno degli elementi più critici del periodo festivo è l’aumento della frequenza di consumo degli zuccheri semplici. Non è tanto la quantità totale a fare la differenza, quanto la loro presenza costante durante la giornata. Ogni assunzione di zuccheri diventa carburante per i batteri naturalmente presenti nella bocca, che li trasformano in acidi.

Questi acidi alterano il pH orale, rendendolo più acido e quindi meno favorevole alla stabilità dello smalto dentale. Con il tempo, questo processo porta a una perdita progressiva di minerali, una sorta di erosione invisibile che rappresenta il primo passo verso la formazione della carie. Il fenomeno è subdolo: può avanzare senza dolore, rendendo difficile accorgersene nelle fasi iniziali.
Cibi appiccicosi e raffinati: una permanenza prolungata
Molti alimenti tipici delle feste hanno una consistenza che favorisce l’adesione ai denti. Torroni morbidi, caramelle, prodotti da forno industriali e cioccolato tendono a restare a lungo sulla superficie dentale, prolungando il contatto con gli zuccheri.

Anche alimenti insospettabili, come pane bianco, crackers e snack salati, vengono rapidamente trasformati in zuccheri semplici dalla saliva. Questo crea un ambiente ideale per la proliferazione batterica. Quando la frequenza di consumo si somma alla capacità di questi cibi di “attaccarsi” ai denti, il rischio per la salute orale aumenta in modo significativo.
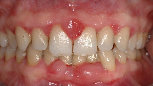
Gengive sotto stress: placca e infiammazione
Le festività spesso portano con sé ritmi meno regolari. Viaggi, pasti fuori casa e giornate più caotiche possono tradursi in una minore attenzione all’igiene orale. In questo contesto, la placca batterica tende ad accumularsi con maggiore facilità. La placca è una sottile pellicola che si deposita sui denti e lungo il margine gengivale. Se non viene rimossa con costanza, può provocare un’infiammazione delle gengive, nota come gengivite. Le gengive appaiono più arrossate, gonfie e possono sanguinare durante lo spazzolamento. Si tratta di segnali spesso lievi ma importanti, che indicano uno stato di sofferenza dei tessuti.

Bevande zuccherate e acide: un equilibrio che si spezza
Durante le feste non aumentano solo i dolci, ma anche il consumo di bevande zuccherate e alcoliche. Succhi di frutta, cocktail e vini introducono non solo zuccheri, ma anche acidi che contribuiscono all’erosione dello smalto.

A differenza della carie, che è legata all’azione batterica, l’erosione è un processo chimico diretto. Lo smalto si assottiglia e i denti diventano più sensibili agli stimoli termici e gustativi. Quando zuccheri e acidità si combinano, il risultato è un ambiente orale più vulnerabile, in cui i meccanismi di difesa naturali fanno più fatica a mantenere l’equilibrio.
Il ruolo della saliva e la sensazione di bocca secca
La saliva è un alleato fondamentale per la salute orale. Aiuta a neutralizzare gli acidi, a rimuovere i residui di cibo e a mantenere sotto controllo la popolazione batterica. Tuttavia, abitudini tipiche delle festività, come il consumo di alcolici e pasti abbondanti, possono ridurne temporaneamente la produzione.

La sensazione di bocca secca, spesso trascurata, è in realtà un segnale importante. Una ridotta salivazione rende la bocca più esposta all’azione degli acidi e dei batteri, aumentando il rischio di carie e infiammazioni gengivali.
Quando i segnali iniziano a emergere
Con il passare delle settimane, il cavo orale può iniziare a inviare segnali più chiari. Una maggiore sensibilità dentale, gengive che sanguinano o un alito meno fresco rappresentano campanelli d’allarme da non ignorare.
Se trascurata, una gengivite può evolvere in condizioni più complesse come la parodontite, che coinvolge i tessuti di supporto del dente. Questo tipo di problema non compare improvvisamente, ma è il risultato di abitudini ripetute nel tempo. Proprio per questo, riconoscere i segnali precoci è fondamentale.
Tornare all’equilibrio dopo le feste
Con la fine del periodo festivo, il ritorno a una routine più regolare diventa un passaggio chiave per la salute orale. Ridurre la frequenza degli zuccheri, riprendere una corretta igiene quotidiana e ristabilire orari dei pasti più equilibrati permette alla bocca di recuperare gradualmente il suo equilibrio naturale.
Una visita di controllo può essere utile per valutare lo stato di denti e gengive e intervenire tempestivamente in caso di problemi. Agire nelle fasi iniziali consente di evitare trattamenti più invasivi e complessi.
Prevenzione: il vero equilibrio tra piacere e salute
Le festività non devono essere vissute come una rinuncia, ma come un momento da gestire con consapevolezza. Il cavo orale risponde rapidamente alle abitudini quotidiane, nel bene e nel male. Piccoli accorgimenti, come limitare la frequenza degli zuccheri e mantenere costante l’igiene orale, possono fare una differenza concreta.
Godersi i momenti conviviali senza compromettere la salute è possibile. Serve solo trovare un equilibrio sostenibile, in cui il piacere della tavola e la cura del sorriso riescano a convivere senza attriti.
Riproduzione riservata ©

