
I denti del giudizio, conosciuti anche come terzi molari, rappresentano uno degli aspetti più curiosi e talvolta problematici della dentatura umana. La loro comparsa, spesso tra i 17 e i 25 anni, può suscitare domande e preoccupazioni, soprattutto quando provocano fastidi o complicazioni. Comprendere la loro funzione, il motivo per cui emergono e come gestirli è fondamentale per mantenere la salute orale senza inutili ansie.
La storia nascosta dei denti del giudizio
I denti del giudizio non sono un’invenzione moderna, ma un residuo della nostra evoluzione. I nostri antenati avevano una dieta molto più dura e fibrosa, composta da radici, frutti non raffinati e carni poco cotte, che richiedeva una dentatura robusta e capace di triturare grandi quantità di cibo. In quel contesto, avere tre molari per lato era una risorsa preziosa. Oggi, invece, con alimenti più morbidi e una masticazione meno intensa, questi denti spesso trovano poco spazio nella bocca e diventano superflui.

Perché compaiono i denti del giudizio
La comparsa dei denti del giudizio è un processo naturale legato alla crescita e allo sviluppo della mandibola. Non sempre emergono contemporaneamente, e in alcuni casi restano parzialmente o completamente inclusi nell’osso. Questo avviene perché la bocca moderna tende a essere più piccola rispetto al passato, creando una sorta di “lotta per lo spazio” tra gli ultimi molari e quelli già presenti. La pressione che si genera durante la loro eruzione può provocare dolore, gonfiore o sensibilità gengivale, fenomeni comuni che non devono allarmare se lievi e transitori.

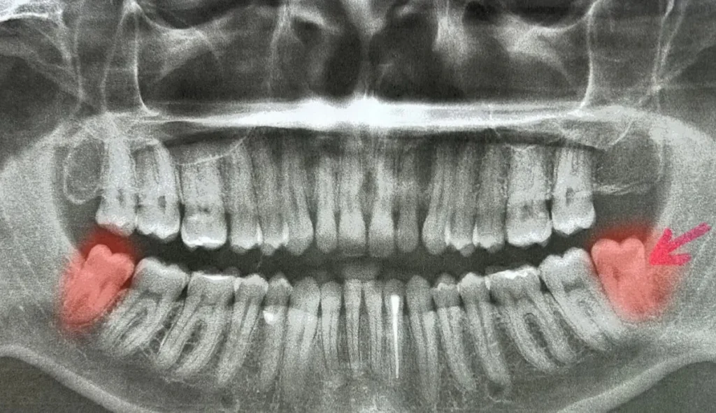
I segnali da non trascurare
Sebbene molti denti del giudizio emergano senza complicazioni, esistono segnali che indicano la necessità di una valutazione professionale. Dolori persistenti, difficoltà a aprire completamente la bocca, infiammazioni ricorrenti o mal posizionamento dei denti vicini possono richiedere un intervento. La valutazione da parte di un dentista, spesso supportata da radiografie, permette di capire se i denti stanno seguendo un percorso corretto o se il loro posizionamento può creare problemi a lungo termine.

Come comportarsi con i denti del giudizio
La gestione dei denti del giudizio varia da persona a persona. In molti casi, la semplice igiene orale accurata e controlli periodici sono sufficienti per evitare disturbi. Spazzolatura regolare, uso del filo interdentale e risciacqui con soluzioni delicate aiutano a mantenere gengive e denti sani. Quando i denti del giudizio crescono storti, provocano dolore o favoriscono infezioni, il dentista può consigliare l’estrazione. Oggi la procedura è sicura e molto più rapida rispetto al passato, riducendo i tempi di recupero e i rischi di complicazioni.
La prevenzione e la cura quotidiana
La prevenzione gioca un ruolo essenziale. Monitorare regolarmente lo sviluppo dei denti del giudizio, evitare accumuli di placca e mantenere gengive sane riduce notevolmente la probabilità di problemi. È importante osservare eventuali cambiamenti, come arrossamenti o sensibilità insolita, e rivolgersi al professionista senza esitazione. Una bocca ben curata non solo previene il dolore, ma contribuisce a preservare l’equilibrio complessivo della dentatura.
Conclusione
I denti del giudizio sono una finestra sul nostro passato evolutivo e un elemento della dentatura che richiede attenzione e cura. Comprenderne il ruolo, riconoscere i segnali di disagio e adottare comportamenti preventivi permette di affrontarne la comparsa senza stress. Con il supporto di controlli regolari e buone abitudini di igiene orale, questi ultimi molari possono convivere con il resto della bocca in modo armonioso, evitando complicazioni e garantendo benessere a lungo termine.
Riproduzione riservata. ©

