Introduzione: la bocca come specchio della salute
Il cavo orale è uno dei primi distretti del corpo a mostrare gli effetti delle sostanze stupefacenti. Denti, gengive, lingua e mucose reagiscono in modo rapido e spesso evidente all’azione chimica delle droghe. Non si tratta solo di un problema estetico: le alterazioni della bocca possono compromettere la nutrizione, la fonazione e, nei casi più gravi, la qualità della vita nel suo complesso.
Comprendere cosa accade permette di riconoscere i segnali precoci e, soprattutto, di diffondere consapevolezza su un tema ancora poco affrontato in modo chiaro.

Come le droghe agiscono nel cavo orale
Le sostanze stupefacenti interferiscono con l’equilibrio naturale della bocca attraverso diversi meccanismi. Alcune riducono la produzione di saliva, altre alterano il flusso sanguigno o modificano il comportamento della persona, rendendo più difficile mantenere una corretta igiene orale.

La saliva svolge un ruolo essenziale perché protegge i denti dagli acidi, aiuta a controllare i batteri e mantiene idratate le mucose. Quando viene a mancare o si riduce drasticamente, l’ambiente orale diventa vulnerabile, quasi come un terreno lasciato senza difese.
Secchezza orale e carie: un equilibrio che si rompe
Uno degli effetti più comuni è la cosiddetta xerostomia, ovvero la sensazione persistente di bocca secca. Questa condizione è particolarmente frequente in chi fa uso di sostanze come cannabis, cocaina e metanfetamine.

La riduzione della saliva favorisce la proliferazione dei batteri responsabili della carie. I denti iniziano a perdere la loro protezione naturale e diventano più sensibili agli attacchi acidi. Nel tempo si osservano lesioni diffuse, spesso rapide e aggressive, che possono interessare più denti contemporaneamente.
Il risultato non è solo un aumento delle cavità, ma anche dolore, difficoltà a masticare e maggiore rischio di infezioni.
L’effetto sulle gengive: infiammazione e recessione
Le gengive reagiscono in modo particolarmente sensibile alle droghe. L’infiammazione può comparire precocemente, accompagnata da arrossamento, sanguinamento e gonfiore.


In alcuni casi si sviluppa una retrazione gengivale, cioè un progressivo “ritiro” delle gengive che espone le radici dei denti. Questo fenomeno rende i denti più vulnerabili e può portare a una mobilità dentale crescente.
Le sostanze che provocano vasocostrizione, come la cocaina, riducono l’apporto di sangue ai tessuti gengivali. È come se le gengive ricevessero meno nutrimento: diventano fragili e meno capaci di difendersi dalle infezioni.
Bruxismo e usura dentale: quando la tensione lascia il segno
Molte droghe stimolanti aumentano la tensione muscolare e portano a digrignare i denti, spesso senza che la persona se ne accorga. Questo fenomeno, chiamato bruxismo, può verificarsi sia durante il giorno sia durante il sonno.

Con il tempo, i denti si consumano, perdono la loro forma naturale e possono andare incontro a fratture. L’usura progressiva altera anche il modo in cui le arcate dentarie si incontrano, creando ulteriori problemi funzionali.
Il sorriso, in questi casi, appare cambiato, più corto e meno armonico, come se il tempo avesse accelerato il suo passaggio.
Lesioni delle mucose e rischio di infezioni
Le mucose della bocca, normalmente elastiche e ben idratate, possono subire irritazioni e lesioni. Alcune sostanze, soprattutto quelle assunte per via inalatoria o fumata, provocano vere e proprie ustioni chimiche.

Si possono osservare ulcere dolorose, placche bianche o arrossamenti persistenti. Queste alterazioni non sono solo fastidiose, ma rappresentano anche una porta d’ingresso per batteri e funghi.

In presenza di un sistema immunitario indebolito, il rischio di infezioni aumenta sensibilmente e la guarigione diventa più lenta.
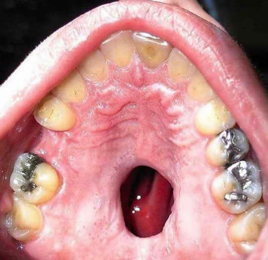
“Meth mouth”: un quadro clinico estremo
Tra gli esempi più noti c’è la cosiddetta “meth mouth”, associata all’uso di metanfetamine. In questo caso si osserva una combinazione particolarmente aggressiva di carie diffuse, denti spezzati, gengive retratte e grave secchezza orale.

Il deterioramento può essere rapido e coinvolgere l’intera dentatura. L’aspetto dei denti cambia drasticamente, con superfici scure, irregolari e fragili. Questo quadro rappresenta una delle manifestazioni più evidenti di come una sostanza possa compromettere profondamente la salute orale.
Alito cattivo e alterazioni del gusto
L’alitosi è un altro segnale frequente. La combinazione di secchezza, proliferazione batterica e scarsa igiene crea un odore persistente e difficile da gestire.
Alcune droghe possono anche alterare la percezione dei sapori. Il gusto diventa meno preciso, talvolta distorto, rendendo l’esperienza alimentare meno piacevole e contribuendo a squilibri nutrizionali.
Impatto sulla vita quotidiana
I danni al cavo orale non restano confinati alla bocca. Mangiare può diventare doloroso, parlare meno fluido, sorridere motivo di disagio. Le relazioni sociali ne risentono, così come l’autostima.
La bocca è uno strumento di relazione oltre che di funzione. Quando viene compromessa, anche gesti semplici possono trasformarsi in difficoltà quotidiane.
Prevenzione e consapevolezza
La prevenzione passa innanzitutto dall’informazione. Conoscere gli effetti delle droghe sul cavo orale permette di riconoscere i primi segnali e intervenire tempestivamente.
Un’adeguata igiene orale, visite regolari dal dentista e l’accesso a percorsi di supporto per la dipendenza possono fare la differenza. Anche piccoli interventi precoci possono evitare danni più gravi e complessi.
Conclusione
I danni delle droghe al cavo orale raccontano una storia visibile, spesso tra le prime a emergere. Denti e gengive diventano testimoni silenziosi di un equilibrio che si altera.
Parlarne in modo chiaro e accessibile è fondamentale per diffondere consapevolezza e favorire scelte più informate. La salute della bocca, in fondo, è parte integrante della salute dell’intero organismo, e merita attenzione, cura e rispetto.
Riproduzione riservata. ©

