L’ascesso parodontale è una condizione odontoiatrica molto dolorosa e spesso sottovalutata, che può colpire chiunque, anche chi ha una buona igiene orale. In questo articolo scoprirai cosa sono gli ascessi parodontali, quali sono i sintomi più comuni, come vengono trattati e soprattutto come prevenirli in modo efficace.
Cos’è un Ascesso Parodontale?
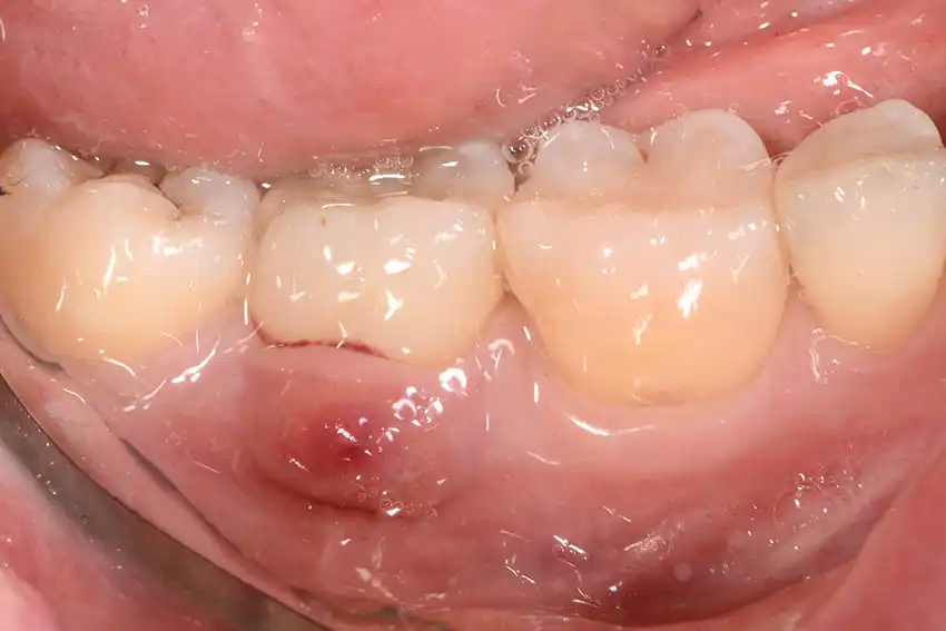
Un ascesso parodontale è una raccolta di pus che si forma nei tessuti che sostengono il dente, come gengiva, legamento parodontale e osso alveolare. A differenza dell’ascesso dentale (che ha origine dalla polpa del dente), l’ascesso parodontale nasce dalle strutture che circondano il dente, spesso in presenza di malattie gengivali trascurate. Immagina una piccola sacca infetta che si crea tra dente e gengiva: è lì che si accumulano batteri, cellule morte e pus, causando dolore, gonfiore e talvolta febbre.

Sintomi: Come si Manifesta un Ascesso Parodontale?
Riconoscere un ascesso parodontale in tempo è fondamentale per evitare complicazioni. I sintomi più comuni includono:
- Dolore intenso e pulsante nella zona gengivale

- Gonfiore visibile delle gengive (a volte anche del viso)

- Sapore sgradevole in bocca o alito cattivo persistente

- Sensibilità al caldo e al freddo

- Mobilità del dente coinvolto

- Sanguinamento gengivale

- Presenza di una “bolla” o rigonfiamento biancastro sulla gengiva
In alcuni casi, può comparire anche febbre o malessere generale, segnale che l’infezione si sta diffondendo.
Cause Principali: Perché si Forma un Ascesso Parodontale?
Le cause di un ascesso parodontale sono spesso legate alla presenza di malattia parodontale avanzata, ma non solo. Tra le principali:
- Placca e tartaro che non vengono rimossi correttamente
- Gengivite o parodontite non trattate
- Resti di cibo o corpi estranei intrappolati tra gengiva e dente
- Traumi gengivali (anche durante lo spazzolamento troppo energico)
- Trattamenti odontoiatrici incompleti o mal eseguiti
- Abbassamento delle difese immunitarie
Spesso, l’ascesso è l’ultimo stadio di una serie di segnali trascurati: piccole infiammazioni, gengive sanguinanti, fastidi durante la masticazione.
Differenza tra Ascesso Parodontale, Ascesso Apicale e Granuloma
Spesso si tende a confondere l’ascesso parodontale con altre infezioni dentali, come l’ascesso apicale o il granuloma dentale. Anche se i sintomi possono sembrare simili, si tratta di condizioni differenti per origine e trattamento.
Cos’è l’ascesso apicale?
L’ascesso apicale (o periapicale) è un’infezione che si sviluppa nella parte più profonda del dente, in corrispondenza della radice. È causato da una carie profonda o da un trauma che permette ai batteri di raggiungere la polpa dentale, provocando una necrosi (morte del tessuto) e la successiva formazione di pus. Il dolore può essere acuto, continuo e peggiorare alla pressione o durante la masticazione.

E il granuloma dentale?
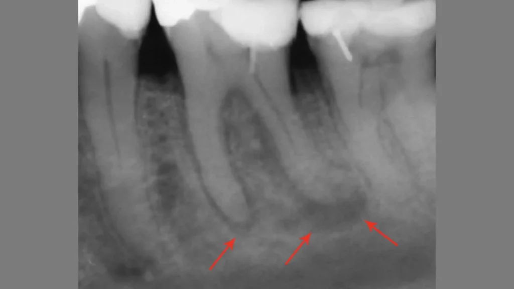
Il granuloma dentale, invece, è una reazione infiammatoria cronica che si sviluppa lentamente all’apice della radice del dente, spesso come conseguenza di un’infezione trascurata. A differenza dell’ascesso, non sempre provoca dolore: può rimanere silente per mesi o anni ed essere scoperto casualmente durante una radiografia. Tuttavia, se non trattato, può trasformarsi in un ascesso vero e proprio.

Granuloma Dentale e Danni all’Osso Mandibolare: Un Rischio Silenzioso
Anche se spesso asintomatico, il granuloma dentale non è una lesione da sottovalutare. Quando un’infezione cronica si sviluppa alla radice del dente e non viene trattata, può provocare la progressiva distruzione dell’osso mandibolare circostante. Questo accade perché i batteri e le tossine prodotte dall’infezione stimolano una risposta infiammatoria che intacca i tessuti di supporto del dente, ovvero il parodonto.
Nel tempo, il granuloma può trasformarsi in un ascesso cronico o causare un riassorbimento osseo localizzato, compromettendo la stabilità del dente interessato e, nei casi più avanzati, anche quella dei denti vicini. L’osso mandibolare, pur essendo una struttura robusta, può subire danni permanenti se non si interviene con un trattamento adeguato.
Come si Cura un Ascesso Parodontale?
Il trattamento dell’ascesso parodontale non può essere rimandato. Intervenire tempestivamente è essenziale per evitare che l’infezione si diffonda o provochi la perdita del dente.
- 1. Drenaggio del pus
- Il primo passo è liberare l’ascesso dal pus accumulato. Questo può avvenire spontaneamente (con una fuoriuscita sulla gengiva) o essere effettuato dal dentista tramite un piccolo intervento locale.
- 2. Pulizia profonda
- Una volta drenato, è necessario pulire a fondo la tasca parodontale per eliminare batteri, tartaro e residui infetti. Questo processo si chiama “levigatura radicolare”.
- 3. Terapia antibiotica
- Se l’infezione è estesa o accompagnata da febbre, lo specialista prescriverà antibiotici specifici. L’automedicazione è fortemente sconsigliata.
- 4. Controlli e mantenimento
- Dopo la fase acuta, è fondamentale seguire una terapia di mantenimento per evitare recidive. Il dentista potrebbe programmare delle sedute regolari di igiene professionale e rivalutare la situazione parodontale.
Prevenzione: Come Evitare la Comparsa di Ascessi Parodontali
La prevenzione è la vera arma vincente contro l’ascesso parodontale. Ecco alcune buone abitudini da adottare:
- Spazzola i denti almeno due volte al giorno con tecnica corretta e spazzolino morbido
- Utilizza il filo interdentale o scovolini per rimuovere i residui tra i denti
- Effettua regolarmente sedute di igiene orale professionale
- Non ignorare sintomi come gengive che sanguinano o dolore gengivale
- Evita il fumo, uno dei principali fattori di rischio per la salute gengivale
- Fai visite periodiche dal dentista, anche in assenza di dolore

Una corretta prevenzione non solo evita gli ascessi, ma protegge anche la salute.
Conclusione: Ascesso Parodontale, Mai Sottovalutarlo
L’ascesso parodontale è un campanello d’allarme importante che indica una sofferenza dei tessuti di supporto del dente. Riconoscerlo per tempo, curarlo con l’aiuto del dentista e adottare strategie preventive mirate può fare la differenza tra la conservazione di un dente e la sua perdita.
La salute delle gengive è la base per il benessere di tutta la bocca. Ascoltarle quando mandano segnali è il primo passo per un sorriso sano e duraturo.
Riproduzione riservata ©
