Introduzione: perché sempre più persone scelgono lo sbiancamento dentale
Negli ultimi anni lo sbiancamento dentale è diventato uno dei trattamenti estetici più richiesti in ambito odontoiatrico. Il motivo è semplice: un sorriso luminoso è spesso percepito come segno di salute, cura personale e sicurezza. Tuttavia, quando si parla di sbiancare i denti, molti si trovano di fronte a un dubbio comune. È meglio affidarsi a un trattamento professionale dal dentista oppure utilizzare i numerosi prodotti da banco disponibili in farmacia, supermercato o online?

Per rispondere a questa domanda è necessario comprendere come funziona lo sbiancamento dentale, quali sono le differenze tra le varie soluzioni disponibili e quali risultati è realistico aspettarsi. Questo articolo offre una panoramica completa e facilmente comprensibile delle principali tecniche di sbiancamento dentale, spiegando vantaggi, limiti e caratteristiche dei trattamenti professionali rispetto ai prodotti fai-da-te.
Come funziona lo sbiancamento dentale
Prima di confrontare le diverse opzioni disponibili, è utile capire in cosa consiste realmente lo sbiancamento dentale. I denti non sono naturalmente bianchi come spesso appaiono nelle pubblicità. Il loro colore varia da persona a persona e dipende da diversi fattori, tra cui genetica, spessore dello smalto e tonalità della dentina, ovvero il tessuto interno del dente sottostante lo smalto.

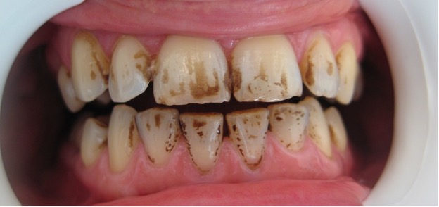
Con il passare del tempo, il colore dei denti può scurirsi a causa di sostanze pigmentate contenute in alimenti e bevande come caffè, tè, vino rosso e alcune spezie. Anche il fumo, l’invecchiamento naturale e alcuni farmaci possono contribuire alla comparsa di macchie o ingiallimenti.

I trattamenti sbiancanti agiscono principalmente attraverso sostanze ossidanti, come il perossido di idrogeno o il perossido di carbammide. Queste molecole penetrano nello smalto e rompono i pigmenti responsabili delle macchie, rendendo i denti visivamente più chiari. Il principio chimico è simile sia nei trattamenti professionali sia nei prodotti da banco, ma ciò che cambia in modo significativo è la concentrazione degli agenti sbiancanti, la modalità di applicazione e il livello di controllo medico.
Lo sbiancamento dentale professionale: come funziona
Lo sbiancamento dentale professionale viene eseguito nello studio odontoiatrico sotto la supervisione di un dentista. Prima di iniziare il trattamento, il professionista effettua una visita per valutare lo stato di salute della bocca e verificare che non siano presenti carie, infiammazioni gengivali o altre condizioni che potrebbero rendere lo sbiancamento inadatto o inefficace. Una volta stabilito che il trattamento è indicato, il dentista applica sui denti un gel sbiancante ad alta concentrazione di perossido. Per proteggere le gengive e i tessuti molli della bocca, viene utilizzata una barriera protettiva specifica.
In molti casi il gel viene attivato o potenziato da una luce LED o da una lampada specifica. Questo passaggio accelera la reazione chimica che permette di eliminare i pigmenti responsabili delle discromie dentali.

Il trattamento in studio dura generalmente tra i trenta e i sessanta minuti e può essere ripetuto in più sedute a seconda del risultato desiderato. In alternativa, il dentista può fornire mascherine personalizzate da utilizzare a casa con gel professionali, combinando così trattamento domiciliare e supervisione medica.

Il principale vantaggio dello sbiancamento professionale è l’efficacia. Grazie alla maggiore concentrazione degli agenti sbiancanti, i risultati sono solitamente più rapidi e più visibili rispetto ai prodotti da banco. Inoltre, la presenza del dentista riduce il rischio di effetti collaterali e consente di adattare il trattamento alle caratteristiche specifiche del paziente.
I prodotti sbiancanti da banco: cosa sono e come agiscono
Negli ultimi anni il mercato dei prodotti sbiancanti fai-da-te si è ampliato notevolmente. Oggi è possibile trovare dentifrici sbiancanti, strisce adesive, penne sbiancanti, gel applicabili con mascherine universali e persino kit con piccole lampade LED. Questi prodotti sono progettati per essere utilizzati senza la supervisione di un professionista. Per motivi di sicurezza, la concentrazione delle sostanze sbiancanti è molto più bassa rispetto a quella impiegata negli studi dentistici. Questo significa che l’effetto sbiancante tende a essere più graduale e meno intenso.

Le strisce sbiancanti e i gel domiciliari contengono invece piccole quantità di perossido e possono produrre un vero effetto sbiancante, anche se in modo più lento rispetto ai trattamenti professionali. In genere devono essere utilizzati quotidianamente per diverse settimane prima di ottenere risultati apprezzabili.
La facilità di accesso e il costo inferiore rappresentano i principali motivi del successo di questi prodotti. Tuttavia, l’assenza di una valutazione odontoiatrica preliminare può rendere difficile capire se il trattamento sia davvero adatto alla propria situazione.
Differenze principali tra sbiancamento professionale e prodotti da banco
La differenza più evidente tra le due soluzioni riguarda l’efficacia del trattamento. I prodotti utilizzati negli studi dentistici contengono concentrazioni di agenti sbiancanti significativamente più elevate rispetto a quelli disponibili al pubblico. Questo consente di ottenere risultati più rapidi e spesso più uniformi.
Un altro elemento importante è la personalizzazione. Durante uno sbiancamento professionale il dentista può valutare il tipo di macchia presente sui denti e scegliere il metodo più adatto. Non tutte le discromie rispondono allo stesso modo ai trattamenti sbiancanti. Alcune macchie, ad esempio quelle causate da farmaci o da traumi dentali, possono richiedere procedure diverse.

I prodotti da banco, invece, sono progettati per un utilizzo generico e non tengono conto delle caratteristiche individuali della dentatura. Questo può limitare l’efficacia del trattamento o portare a risultati meno omogenei. Anche la sicurezza rappresenta un fattore rilevante. Quando lo sbiancamento viene eseguito sotto controllo medico, le gengive e i tessuti della bocca vengono protetti in modo adeguato. Il dentista può inoltre intervenire immediatamente nel caso in cui il paziente avverta sensibilità o fastidi.
Con i prodotti fai-da-te il rischio principale è un uso scorretto o eccessivo. Sebbene la concentrazione dei principi attivi sia più bassa, un’applicazione impropria può comunque causare irritazioni gengivali o aumentare temporaneamente la sensibilità dentale.
Quanto durano i risultati dello sbiancamento dentale
La durata dello sbiancamento dentale dipende in gran parte dalle abitudini quotidiane della persona. Dopo il trattamento, i denti possono mantenere un colore più chiaro per diversi mesi o anche per alcuni anni. Il consumo frequente di bevande pigmentate, il fumo e una scarsa igiene orale possono accelerare la ricomparsa delle macchie. Per questo motivo i dentisti consigliano spesso alcune semplici precauzioni dopo lo sbiancamento, come limitare temporaneamente caffè, tè, vino rosso e alimenti molto colorati. Anche la pulizia professionale periodica dal dentista può contribuire a mantenere il sorriso più luminoso nel tempo.

Quando è consigliabile consultare il dentista
Anche se molti prodotti sbiancanti sono facilmente reperibili, è sempre consigliabile consultare un dentista prima di iniziare qualsiasi trattamento. Una visita preliminare permette di verificare che denti e gengive siano in buona salute e di individuare eventuali problemi che potrebbero interferire con lo sbiancamento.
Inoltre, il professionista può aiutare a capire quale metodo sia più indicato per ottenere il risultato desiderato senza rischi inutili.
Conclusione: quale scegliere tra sbiancamento professionale e fai-da-te
Sbiancare i denti è oggi più semplice e accessibile che in passato, ma non tutte le soluzioni offrono gli stessi risultati. I prodotti da banco rappresentano un’opzione pratica ed economica per migliorare leggermente l’aspetto dei denti, soprattutto quando si tratta di macchie superficiali.
Lo sbiancamento dentale professionale, invece, rimane la scelta più efficace per chi desidera un cambiamento visibile e duraturo. La supervisione del dentista, la personalizzazione del trattamento e l’utilizzo di prodotti più potenti permettono di ottenere risultati generalmente superiori in tempi più rapidi.
La scelta migliore dipende quindi dalle proprie esigenze, dalle condizioni dei denti e dal livello di sbiancamento desiderato. In ogni caso, un sorriso sano e luminoso nasce sempre da una buona igiene orale quotidiana e da controlli regolari dal dentista.
Riproduzione riservata ©


