La carie profonda è una delle situazioni più comuni che portano i pazienti dal dentista. Quando la carie arriva vicino alla polpa del dente, molte persone pensano immediatamente che l’unica soluzione sia la devitalizzazione. In realtà non è sempre così.
In diversi casi è possibile salvare la vitalità del dente con una otturazione profonda, una procedura conservativa che permette di eliminare la carie e ricostruire il dente senza rimuovere il nervo. In questo articolo vedremo che cos’è una carie profonda, quando si può evitare la devitalizzazione e in cosa consiste l’otturazione profonda, spiegandolo in modo semplice e comprensibile.
Che cos’è una carie profonda?
La carie è un processo che distrugge progressivamente i tessuti duri del dente, causato principalmente dai batteri presenti nella placca.
Il dente è formato da tre parti principali:
- Smalto: lo strato esterno, molto duro;
- Dentina: lo strato intermedio, più sensibile;
- Polpa dentale: la parte interna dove si trovano nervi e vasi sanguigni

Una carie profonda si verifica quando il processo carioso attraversa lo smalto e gran parte della dentina, arrivando molto vicino alla polpa.

In questa fase possono comparire sintomi come:
- sensibilità al freddo o al caldo;
- fastidio durante la masticazione;
- dolore occasionale;
- presenza di una cavità visibile nel dente
Nonostante la vicinanza alla polpa, il nervo può essere ancora sano. Proprio per questo motivo non sempre è necessario devitalizzare.
Devitalizzazione o otturazione profonda: come decide il dentista
La scelta tra devitalizzazione e otturazione profonda dipende principalmente dallo stato della polpa dentale.
Il dentista valuta diversi fattori:
La scelta tra devitalizzazione e otturazione profonda dipende principalmente dallo stato della polpa dentale.
Il dentista valuta diversi fattori:
- profondità della carie;
- presenza o meno di infezione della polpa;
- sintomi riferiti dal paziente;
- risposta del dente ai test di vitalità;
- radiografia del dente
Se la polpa è irreversibilmente infiammata o infetta, la devitalizzazione è necessaria. Se invece la polpa è ancora vitale e recuperabile, il dentista può scegliere una terapia più conservativa: l’otturazione profonda. Questa scelta permette di preservare il nervo del dente, mantenendo la sua naturale vitalità.
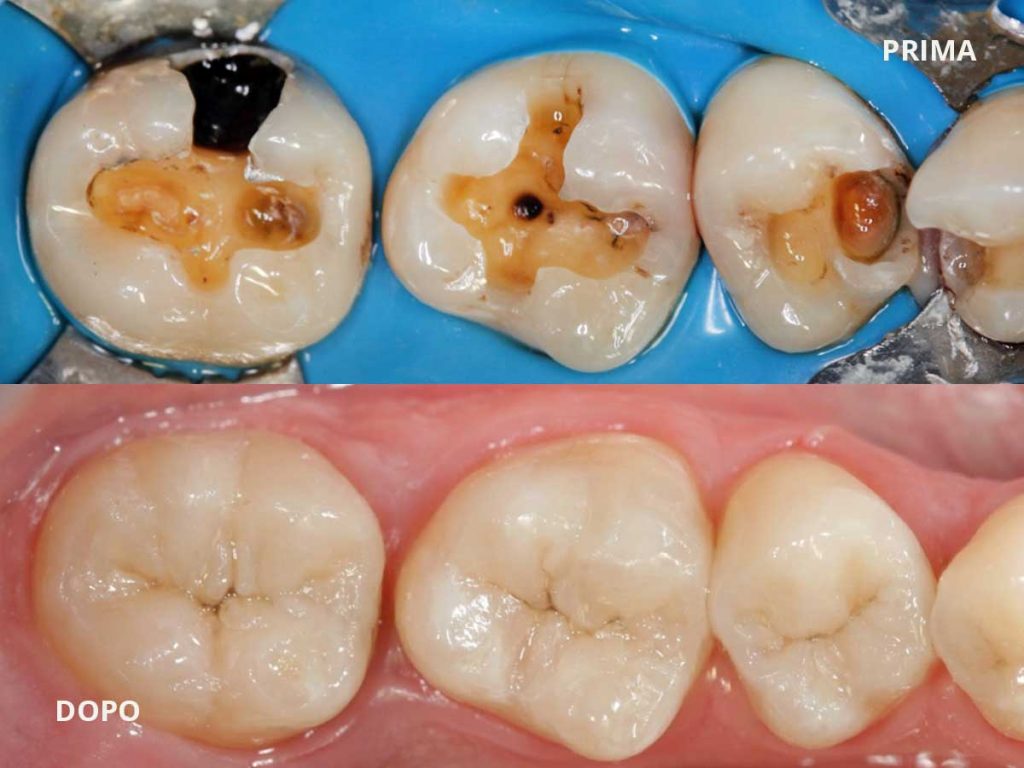
Che cos’è l’otturazione profonda
L’otturazione profonda è una ricostruzione del dente effettuata dopo aver rimosso una carie molto estesa, ma senza arrivare alla polpa.
Si tratta di un trattamento di odontoiatria conservativa, il cui obiettivo è:
- eliminare completamente il tessuto cariato;
- proteggere la polpa dentale;
- ricostruire la forma e la funzione del dente
A differenza di una devitalizzazione, il nervo rimane vivo e funzionante.
Questo è un grande vantaggio perché il dente continua a:
avere una maggiore longevità biologica;
percepire gli stimoli;
mantenere la propria resistenza nel tempo.

Come si svolge il trattamento
Il trattamento di una carie profonda con otturazione avviene in diverse fasi.
1. Anestesia locale
Per garantire il comfort del paziente, il dentista effettua una anestesia locale. In questo modo il trattamento risulta indolore.

2. Rimozione della carie
Con strumenti rotanti e manuali viene eliminato tutto il tessuto dentale infetto.
Questa fase è molto delicata perché la carie si trova vicino alla polpa. Il dentista deve lavorare con precisione per:
- rimuovere i batteri;
- preservare il più possibile la dentina sana

3. Protezione della polpa
Quando la cavità è molto vicina al nervo, il dentista applica materiali protettivi specifici.
Questi materiali hanno lo scopo di:
- isolare la polpa dagli stimoli esterni;
- favorire la riparazione del tessuto dentale;
- ridurre il rischio di infiammazione
4. Ricostruzione del dente
Dopo la protezione della zona profonda, il dente viene ricostruito con materiali compositi estetici, che ripristinano forma e funzione.
Il risultato finale è un dente:
- resistente;
- funzionale;
- esteticamente naturale

Cosa può succedere dopo un’otturazione profonda
Dopo questo tipo di trattamento è possibile avvertire una leggera sensibilità temporanea, soprattutto:
- al freddo;
- alla pressione durante la masticazione
Questo accade perché la polpa è stata molto vicina alla zona trattata.
Nella maggior parte dei casi la sensibilità scompare spontaneamente nel giro di alcuni giorni o settimane, man mano che il dente si stabilizza.
Il dentista può comunque programmare un controllo nel tempo per verificare che la polpa rimanga vitale.

Quando può essere necessaria la devitalizzazione in un secondo momento
In una piccola percentuale di casi, nonostante il trattamento conservativo, la polpa può sviluppare nel tempo un’infiammazione irreversibile.
Se dovessero comparire sintomi come:
- dolore spontaneo persistente;
- dolore intenso alla masticazione;
- sensibilità prolungata al caldo
potrebbe essere necessario procedere con una devitalizzazione del dente.
Tuttavia, tentare di conservare la vitalità del dente quando possibile è spesso la scelta migliore dal punto di vista biologico.
Perché preservare la vitalità del dente è importante
Mantenere il dente vitale offre diversi vantaggi.
Un dente con il nervo vivo:
- mantiene una migliore idratazione dei tessuti dentali
- è generalmente più resistente nel tempo;
- conserva la propriocezione, cioè la capacità di percepire la pressione durante la masticazione
Per questo motivo, quando le condizioni lo permettono, molti dentisti preferiscono un approccio conservativo come l’otturazione profonda.
Prevenzione: il modo migliore per evitare carie profonde
La soluzione ideale resta sempre la prevenzione.
Per ridurre il rischio di carie è importante:
- lavare i denti almeno due volte al giorno;
- utilizzare il filo interdentale o lo scovolino;
- limitare il consumo frequente di zuccheri;
- effettuare controlli periodici dal dentista;
- eseguire sedute di igiene professionale
Individuare una carie nelle fasi iniziali permette interventi molto più semplici e meno invasivi.
Riproduzione riservata ©

