La caduta dei denti è un fenomeno che può riguardare persone di tutte le età ma è particolarmente preoccupante quando ciò avviene in età adulta. Mentre nei bambini la perdita dei denti da latte è un processo naturale, negli adulti può essere segno di un problema più serio.
Caduta dei denti nei bambini
I denti da latte iniziano a cadere intorno ai 5-6 anni per lasciare spazio ai denti permanenti. Questo processo è normale e fisiologico. I denti si allentano da soli e cadono senza provocare dolore importante. Se però un dente da latte cade troppo presto (a causa di un trauma o di una carie avanzata), è bene consultare il dentista per evitare problemi nella crescita dei denti permanenti.

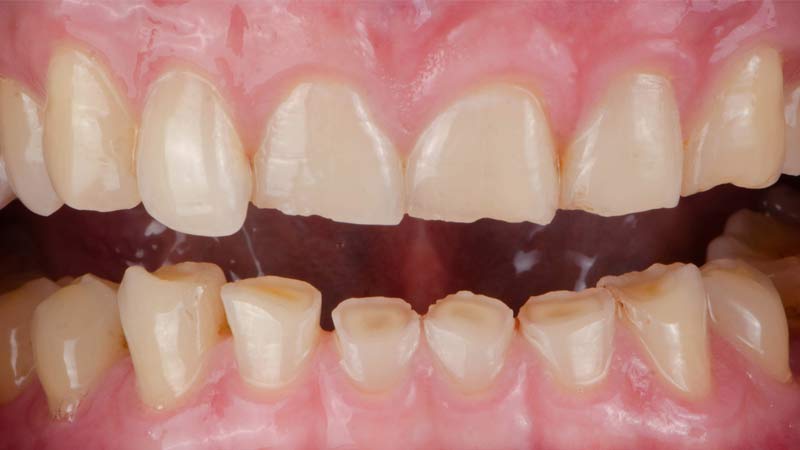
Caduta dei denti negli adulti: cause principali
La perdita dei denti in età adulta non è mai normale e va sempre indagata. Ecco quali sono le cause più comuni:
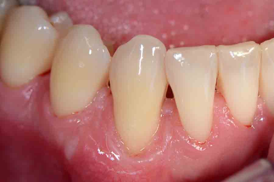
1. Malattia parodontale
È la causa principale. La parodontite è un’infiammazione dei tessuti che sostengono il dente (gengive e osso). Se non trattata, può portare al distacco del dente e alla sua caduta. Spesso inizia come una semplice gengivite (infiammazione delle gengive), ma può peggiorare nel tempo.
Segni da non ignorare: gengive che sanguinano, alito cattivo persistente, denti che “si muovono”.

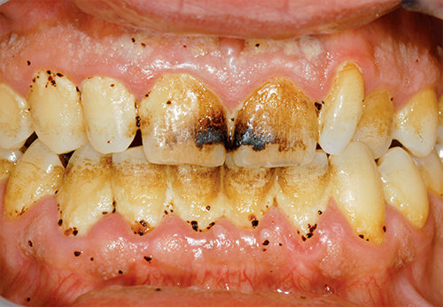
2. Carie profonde
Una carie non curata può danneggiare la parte interna del dente (la polpa) e, se l’infezione si diffonde all’osso, può provocare la perdita del dente.

3. Traumi o incidenti
Un colpo in faccia o un incidente sportivo può causare la caduta immediata di un dente, oppure danneggiarlo al punto da doverlo estrarre in seguito.

4. Bruxismo
Il bruxismo è l’abitudine involontaria di digrignare i denti, soprattutto di notte. A lungo andare, può consumare lo smalto, danneggiare le gengive e portare alla perdita di denti. Un aiuto per prevenire l’erosione dentale causata dal bruxismo è l’utilizzo di un bite notturno.

5. Malattie sistemiche e farmaci
Alcune malattie (come il diabete o l’osteoporosi) e alcuni farmaci (in particolare quelli per l’ipertensione o la chemioterapia) possono indebolire i tessuti che sostengono i denti.

Prevenzione della caduta dei denti: come proteggerli
Igiene orale quotidiana: lavare i denti almeno due volte al giorno con dentifricio al fluoro e usare il filo interdentale.

Visite regolari dal dentista: almeno una volta l’anno, anche in assenza di sintomi.

Alimentazione equilibrata: ridurre il consumo di zuccheri e cibi acidi che favoriscono la carie.

Non fumare: il fumo danneggia le gengive e aumenta il rischio di malattie parodontali.

Usare il paradenti: se si praticano sport da contatto, un paradenti può prevenire traumi ai denti. Chiamaci per realizzare il tuo bite sportivo personalizzato e super performante!

Cosa fare se un dente cade
Se il dente è permanente e appena caduto per un trauma:
- Prenderlo delicatamente dalla corona (la parte visibile), senza toccare la radice.
- Se è pulito, contattare immediatamente il dentista che lo rimetterà al suo posto.
- Se non è possibile, conservarlo in una soluzione salina, nel latte o nella saliva.
- Andare subito dal dentista o al pronto soccorso. Il tempo è fondamentale: idealmente entro 30-60 minuti.
Se un dente cade spontaneamente (non per trauma):
- Conservare il dente, se possibile.
- Consultare al più presto il dentista per capire la causa e valutare le soluzioni (impianto, ponte, protesi).
Conclusione
La caduta dei denti non va mai sottovalutata. Capirne le cause è il primo passo per intervenire nel modo giusto. Una buona igiene orale, controlli regolari e uno stile di vita sano sono le armi migliori per mantenere il sorriso a lungo. Se un dente cade, agire tempestivamente può fare la differenza.
Riproduzione riservata©

