I disturbi apicali rappresentano una delle problematiche più comuni in odontoiatria e riguardano la parte finale della radice del dente, chiamata apice radicolare. Questa zona, se colpita da infezioni o infiammazioni, può causare dolore e compromettere la salute del dente e dei tessuti circostanti. In questo articolo vedremo insieme cosa sono i disturbi apicali, quali sintomi possono dare e quali sono le possibili cure.

Cosa sono i disturbi apicali
Con il termine disturbi apicali si indicano diverse condizioni che interessano l’apice del dente, spesso come conseguenza di una carie profonda o di un trauma. Quando i batteri raggiungono la polpa dentaria e i canali radicolari, possono diffondersi fino all’apice causando infiammazioni o lesioni periapicali.

Le forme più comuni di disturbi apicali sono:
Cisti radicolari: piccole cavità piene di liquido che si sviluppano vicino alla radice del dente

Ascesso apicale: raccolta di pus che provoca dolore acuto
Granuloma apicale: infiammazione cronica con tessuto di difesa che si forma attorno all’apice
Sintomi dei disturbi apicali
I disturbi apicali possono presentarsi con sintomi diversi a seconda della gravità. I più frequenti sono:
- Dolore spontaneo o alla masticazione
- Gonfiore della gengiva vicino al dente interessato
- Sensibilità al caldo e al freddo
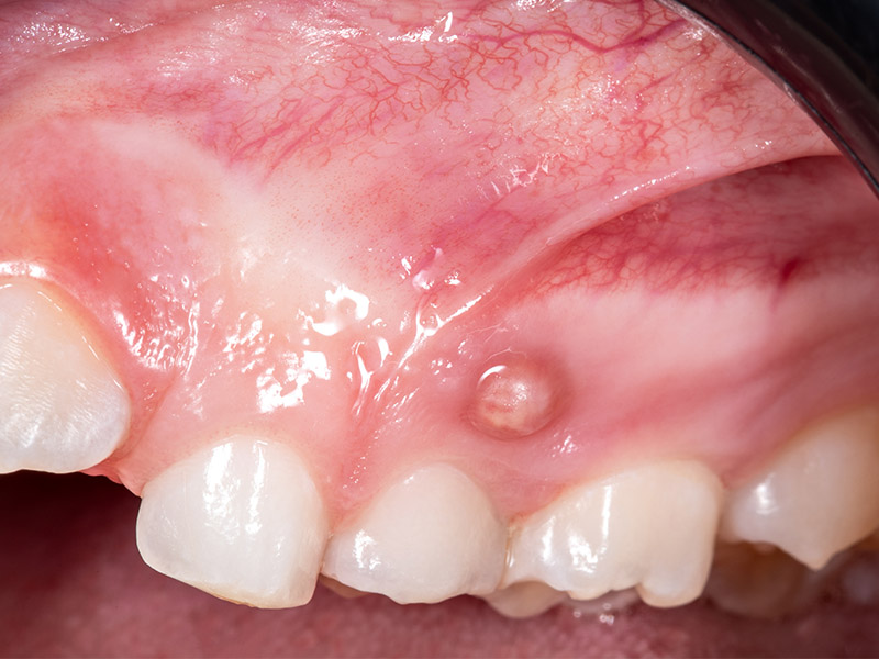
- Comparsa di fistole (piccole bollicine con fuoriuscita di liquido)
- Alitosi o cattivo sapore in bocca
In alcuni casi, il disturbo può essere asintomatico e scoperto solo durante una visita odontoiatrica o una radiografia di controllo.
Diagnosi dei disturbi apicali
La diagnosi viene effettuata dal dentista tramite:
- Esame clinico: valutazione dei sintomi e della risposta del dente a stimoli termici o alla percussione.
- Radiografia endorale: permette di visualizzare l’area intorno all’apice e verificare la presenza di lesioni.

Una diagnosi precoce è fondamentale per evitare complicazioni e preservare il più possibile la salute dentale.
Trattamento dei disturbi apicali
Il trattamento dei disturbi apicali varia a seconda della condizione riscontrata:
- Terapia canalare (devitalizzazione): pulizia e sigillatura dei canali radicolari per eliminare i batteri
- Ritrattamento canalare: nei casi in cui una precedente cura non abbia avuto successo
- Apicectomia: intervento chirurgico mirato a rimuovere la parte infetta dell’apice e sigillare la radice
- Estrazione dentale: solo quando non è possibile salvare il dente
Il dentista valuta sempre il trattamento più adatto, tenendo conto dello stato di salute del paziente e della possibilità di conservare il dente.
Prevenzione dei disturbi apicali
La prevenzione è la strategia più efficace per ridurre il rischio di disturbi apicali. Alcuni consigli utili sono:
Seguire una dieta equilibrata, riducendo zuccheri e bevande acide
Mantenere una corretta igiene orale con spazzolino e filo interdentale
Effettuare controlli periodici dal dentista
Curare tempestivamente carie e traumi dentali
Conclusioni
I disturbi apicali sono problematiche comuni ma curabili, soprattutto se individuate in tempo. Riconoscere i sintomi e rivolgersi subito al proprio dentista permette di evitare complicazioni e preservare il dente.
Un approccio preventivo, basato su controlli regolari e una buona igiene orale, resta il modo migliore per proteggere la salute dei denti e del cavo orale.
Riproduzione riservata ©

