La salute della bocca è spesso sottovalutata, ma svolge un ruolo fondamentale nel benessere generale. Tra i problemi più comuni troviamo gengivite e parodontite, due condizioni che colpiscono le gengive e i tessuti che sostengono i denti. Comprendere i sintomi e sapere come prevenirle è essenziale per evitare complicazioni anche serie.

Cos’è la gengivite
La gengivite è un’infiammazione delle gengive causata principalmente dall’accumulo di placca batterica sui denti. È la forma più lieve di malattia gengivale e, se trattata in tempo, è completamente reversibile. La placca è una pellicola sottile e appiccicosa composta da batteri che si forma continuamente sui denti. Se non viene rimossa con una corretta igiene orale, può irritare le gengive.

Sintomi della gengivite
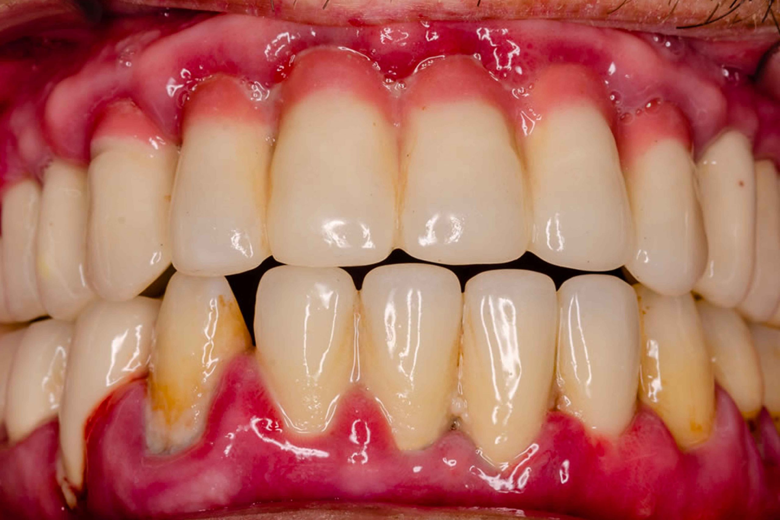
I segnali della gengivite sono spesso lievi, ma riconoscerli presto è fondamentale. Le gengive possono apparire arrossate e gonfie, e spesso tendono a sanguinare durante lo spazzolamento o quando si utilizza il filo interdentale. Un altro sintomo comune è l’alito cattivo persistente, accompagnato talvolta da una sensazione di fastidio o sensibilità gengivale.

Molte persone tendono a ignorare questi sintomi perché non causano dolore intenso. Tuttavia, trascurarli può portare a problemi più gravi.
Cos’è la parodontite
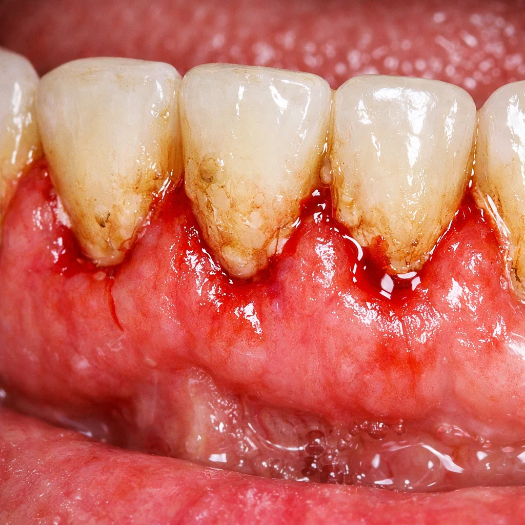
La parodontite è una forma avanzata di malattia gengivale che si sviluppa quando la gengivite non viene trattata. In questa fase, l’infezione si estende ai tessuti più profondi, come l’osso che sostiene i denti e i legamenti parodontali. Con il tempo, questa condizione può compromettere la stabilità dei denti fino a causarne la perdita.
Sintomi della parodontite
Rispetto alla gengivite, i sintomi della parodontite sono più evidenti e seri. Le gengive tendono a ritirarsi, facendo apparire i denti più lunghi. Può comparire mobilità dentale, con denti che sembrano muoversi o cambiare posizione. Spesso si avverte dolore durante la masticazione e, nei casi più avanzati, può essere presente pus tra denti e gengive.

L’alito cattivo persistente e un sapore sgradevole in bocca sono segnali frequenti. Quando la malattia è in fase avanzata, i danni ai tessuti possono diventare irreversibili.
Le cause
Le cause di gengivite e parodontite sono simili, anche se differiscono per gravità e progressione. L’accumulo di placca e tartaro rappresenta la causa principale: se la placca non viene rimossa, si indurisce trasformandosi in tartaro, che può essere eliminato solo dal dentista. Un’igiene orale insufficiente contribuisce in modo significativo, soprattutto quando i denti non vengono lavati correttamente o si trascura l’uso del filo interdentale. Anche il fumo gioca un ruolo importante, poiché riduce la capacità delle gengive di guarire e le rende più vulnerabili alle infezioni.

L’alimentazione influisce sulla salute gengivale: una dieta povera di vitamine, in particolare vitamina C, può indebolire le difese naturali. Inoltre, i cambiamenti ormonali, come quelli legati a gravidanza, pubertà o menopausa, possono rendere le gengive più sensibili. Infine, alcune malattie sistemiche, come il diabete, aumentano il rischio di sviluppare infezioni gengivali.

Come prevenire gengivite e parodontite
La prevenzione è fondamentale e si basa su abitudini quotidiane semplici ma efficaci. Lavare i denti correttamente almeno due volte al giorno, dedicando almeno due minuti a ogni spazzolamento e utilizzando uno spazzolino a setole morbide, è il primo passo per mantenere la bocca sana. L’uso del filo interdentale è altrettanto importante, perché consente di rimuovere la placca negli spazi tra i denti dove lo spazzolino non riesce ad arrivare. Anche il collutorio può essere utile per ridurre la presenza di batteri, pur non sostituendo una corretta pulizia meccanica.
I controlli regolari dal dentista, idealmente ogni sei mesi, permettono di individuare eventuali problemi in fase iniziale. La pulizia professionale, nota come detartrasi, è essenziale per eliminare tartaro e placca accumulati in profondità.
Quando rivolgersi al dentista
È importante consultare un professionista quando si notano segnali come sanguinamento frequente delle gengive, recessione gengivale, mobilità dentale o alito cattivo persistente. Intervenire tempestivamente permette di evitare trattamenti più complessi e invasivi.
Conclusione
Gengivite e parodontite sono condizioni comuni ma spesso sottovalutate. La buona notizia è che, nella maggior parte dei casi, possono essere prevenute con semplici abitudini quotidiane e controlli regolari.
Prendersi cura delle gengive non significa solo avere un bel sorriso, ma anche proteggere la salute generale dell’organismo. Piccoli gesti quotidiani possono fare una grande differenza nel lungo periodo.
Riproduzione riservata ©

