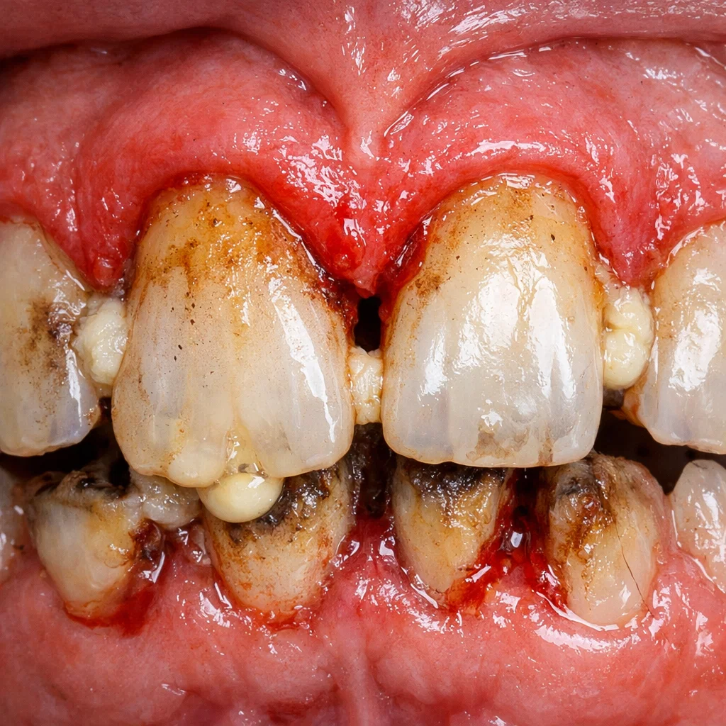
Placca e tartaro: i nemici silenziosi
Se la pulizia dei denti non viene eseguita regolarmente:
- Si accumulano placca e tartaro;
- Le gengive si infiammano;
- Compare alitosi persistente

Dalla gengivite alla parodontite
Trascurare le gengive può portare a:
- Mobilità dei denti;
- Parodontite (malattia gengivale avanzata);
- Recessione gengivale

Levigatura radicolare: quando serve
Se indicata e non eseguita:
- La malattia parodontale peggiora;
- Aumenta il rischio di perdere i denti
Messaggio chiave
La salute delle gengive è fondamentale quanto quella dei denti.
Riproduzione riservata ©

