Una nuova era per la cura dei denti
Entrare oggi in uno studio dentistico può sorprendere. Accanto alla classica poltrona si trovano schermi, strumenti dalle forme eleganti e tecnologie che sembrano uscite da un laboratorio futuristico. L’odontoiatria digitale rappresenta proprio questo: un cambiamento profondo nel modo in cui i professionisti osservano, diagnosticano e trattano i problemi del cavo orale.

Non si tratta semplicemente di strumenti più moderni, ma di un approccio completamente diverso. Le informazioni vengono raccolte, elaborate e utilizzate in forma digitale, permettendo una precisione che fino a pochi anni fa era difficilmente immaginabile. In questo scenario le radiografie tridimensionali e lo scanner intraorale giocano un ruolo centrale, trasformando l’esperienza del paziente in qualcosa di più rapido, confortevole e comprensibile.

Che cosa si intende per odontoiatria digitale
Quando si parla di odontoiatria digitale si fa riferimento all’insieme di tecnologie che permettono di acquisire dati del paziente in formato digitale e utilizzarli per pianificare e realizzare trattamenti. Questo significa che impronte, immagini e progetti protesici non sono più basati su materiali fisici, ma su modelli virtuali estremamente dettagliati.

Il vantaggio più evidente è la precisione. Ogni dettaglio viene registrato e analizzato con software avanzati, riducendo il margine di errore umano. Allo stesso tempo, il paziente può vedere in tempo reale ciò che il dentista osserva, comprendendo meglio la propria situazione e le soluzioni proposte.
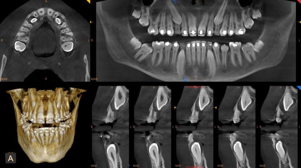
La differenza tra radiografia tradizionale e tridimensionale
Le radiografie tradizionali, quelle bidimensionali, offrono una visione piatta delle strutture dentali. Sono utili, ma limitate. Le radiografie 3D, conosciute anche come TAC dentali o Cone Beam, permettono invece di visualizzare denti, ossa e tessuti da ogni angolazione.

È come passare da una fotografia a una vera e propria esplorazione in profondità. Il dentista può analizzare ogni strato, individuare problemi nascosti e pianificare interventi con una precisione millimetrica.
A cosa servono le radiografie 3D
Le applicazioni sono numerose e riguardano diversi ambiti dell’odontoiatria. Nella chirurgia implantare, per esempio, la radiografia 3D consente di valutare con esattezza la quantità e la qualità dell’osso disponibile, riducendo i rischi e migliorando il risultato finale.

Anche nei casi di denti inclusi, infezioni profonde o problematiche articolari, questa tecnologia permette di individuare dettagli che altrimenti potrebbero sfuggire. Il risultato è una diagnosi più accurata e un piano di trattamento più sicuro.
Sicurezza e dosi di radiazioni
Una delle domande più frequenti riguarda l’esposizione alle radiazioni. Le moderne apparecchiature 3D sono progettate per ridurre al minimo la dose, mantenendola entro limiti considerati sicuri. In molti casi, l’informazione ottenuta è così preziosa da giustificare pienamente l’esame.

Come funziona lo scanner intraorale
Chi ha avuto esperienza con le impronte dentali tradizionali ricorda spesso una sensazione poco piacevole: materiali ingombranti, tempi di attesa e un certo disagio. Lo scanner intraorale cambia completamente questa esperienza.

Si tratta di un piccolo dispositivo che, passato sopra i denti, acquisisce immagini ad alta definizione e le trasforma in un modello digitale tridimensionale. Il processo è rapido, preciso e molto più confortevole per il paziente.
I vantaggi per il paziente
Uno dei principali benefici è il comfort. Non ci sono paste da mordere né tempi lunghi di immobilità. Inoltre, il risultato è immediato: sullo schermo appare una riproduzione dettagliata della bocca, che il paziente può osservare insieme al dentista.

Questa visualizzazione diretta favorisce la comprensione e la fiducia. Vedere il proprio caso in modo così chiaro aiuta a prendere decisioni più consapevoli.
Precisione e applicazioni cliniche
Dal punto di vista clinico, lo scanner intraorale offre una precisione elevatissima. Viene utilizzato per realizzare corone, faccette, ponti e apparecchi ortodontici su misura. I dati digitali possono essere inviati direttamente al laboratorio odontotecnico, riducendo i tempi di lavorazione e migliorando l’adattamento delle protesi. In ortodonzia, ad esempio, questa tecnologia è fondamentale per la progettazione di allineatori trasparenti, sempre più richiesti per la loro discrezione ed efficacia.
Integrazione tra tecnologie: un flusso completamente digitale
Uno degli aspetti più affascinanti dell’odontoiatria digitale è l’integrazione tra strumenti diversi. Le radiografie 3D e lo scanner intraorale non lavorano separatamente, ma dialogano tra loro. I dati raccolti vengono combinati in software avanzati che permettono di creare un modello completo del paziente. Questo modello diventa la base per pianificare interventi, simulare risultati e realizzare dispositivi su misura.

In implantologia, ad esempio, è possibile progettare virtualmente l’inserimento di un impianto, valutandone posizione e inclinazione prima ancora di iniziare l’intervento. Questo approccio riduce i margini di errore e aumenta la prevedibilità del risultato.
I benefici concreti per il paziente
Per chi si sottopone a cure odontoiatriche, l’adozione di tecnologie digitali si traduce in vantaggi tangibili. I tempi di trattamento si riducono, le sedute diventano più rapide e meno invasive, e i risultati sono spesso più precisi e duraturi.

Anche l’aspetto comunicativo migliora. Il paziente non è più un semplice spettatore, ma parte attiva del percorso di cura. Può vedere, comprendere e partecipare alle decisioni, con una maggiore consapevolezza.
Il futuro dell’odontoiatria è già presente
L’odontoiatria digitale non è una promessa lontana, ma una realtà sempre più diffusa. Le tecnologie continuano a evolversi, rendendo le cure più accessibili, precise e personalizzate.
Radiografie 3D e scanner intraorale rappresentano solo una parte di questo cambiamento, ma sono tra gli strumenti più significativi. Grazie a loro, il concetto di cura dentale si trasforma: da esperienza spesso temuta a percorso guidato, trasparente e orientato al benessere del paziente.
In questo nuovo panorama, il sorriso non è soltanto un risultato estetico, ma il frutto di una tecnologia che lavora in armonia con la competenza umana, rendendo ogni trattamento più sicuro, efficace e, sorprendentemente, anche più semplice.
Riproduzione riservata ©

