L’otturazione dentale è uno dei trattamenti più comuni in odontoiatria conservativa. Serve a ripristinare forma e funzionalità di un dente danneggiato, prevenendo problemi più gravi. In questo articolo scoprirai quando è necessario intervenire con un’otturazione, quali sono i segnali da non sottovalutare e come avviene il trattamento, nel pieno rispetto della salute del paziente.
Cos’è un’otturazione dentale
L’otturazione è una procedura con cui il dentista rimuove la parte del dente deteriorata (di solito a causa della carie) e la sostituisce con un materiale da restauro, come resina composita o amalgama. Lo scopo è bloccare la progressione del danno e restituire al dente la sua funzione masticatoria ed estetica.

Quando si rende necessaria un’otturazione
1. Presenza di carie dentale
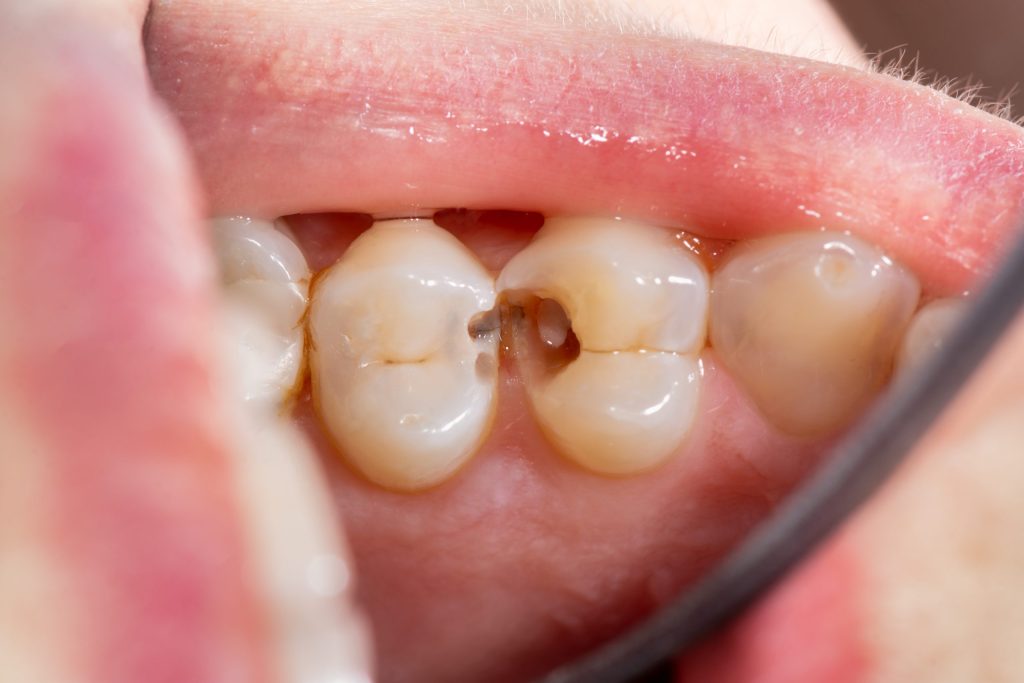
La causa più frequente è la carie, un processo infettivo che distrugge progressivamente lo smalto e la dentina. Si ricorre all’otturazione quando la carie è in fase iniziale o intermedia, prima che raggiunga la polpa dentale (la parte più interna del dente, ricca di terminazioni nervose).

Sintomi tipici:
Alitosi persistente
Sensibilità a caldo, freddo o zuccheri
Dolore localizzato
Macchie scure o fori visibili sul dente
Denti scheggiati o fratturati
Un trauma, il bruxismo (digrignamento notturno) o l’usura possono causare piccole fratture. Se il danno non interessa le strutture profonde, un’otturazione può riparare la parte mancante e proteggere il tessuto dentale residuo.

Sostituzione di vecchie otturazioni
Nel tempo, le otturazioni si possono usurare, crepare o staccare parzialmente, lasciando spazio a infiltrazioni batteriche. In questi casi è opportuno rimuoverle e rifarle per evitare nuove carie secondarie.

Come avviene il trattamento
Diagnosi e valutazione
Il dentista esamina il dente con strumenti clinici, radiografie ed eventualmente sistemi digitali (es. rilevatori di carie). Decide se l’otturazione è il trattamento più indicato.
Rimozione del tessuto danneggiato
Viene eliminata la parte cariata o compromessa del dente, mantenendo il più possibile il tessuto sano, secondo i principi della odontoiatria conservativa minima invasiva.
Preparazione e riempimento della cavità
La cavità viene pulita, disinfettata e poi riempita con materiali come:
Cementi vetroionomerici (utili nei bambini o zone non estetiche)
Resina composita (estetica, colore simile al dente)
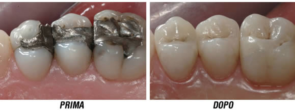
Amalgama (oggi meno usata, più visibile). Negli ultimi anni, l’amalgama dentale è stata progressivamente sostituita da materiali più moderni principalmente per tre motivi. Innanzitutto contiene mercurio, che pur essendo stabile una volta indurito, ha sollevato dubbi sul suo impatto a lungo termine sulla salute e sull’ambiente. In secondo luogo, l’amalgama ha un colore metallico grigio, poco estetico, che risulta molto visibile soprattutto nei denti anteriori o quando si sorride. Infine, questo materiale richiede una preparazione più invasiva del dente, comportando la rimozione di più tessuto sano per garantire la ritenzione meccanica. Al contrario, le moderne resine composite sono biocompatibili, mimetiche (del colore del dente) e permettono tecniche più conservative, preservando al massimo la struttura dentale naturale.
Rifinitura e controllo finale
Il dentista modella il materiale per restituire la corretta masticazione e lucida la superficie per evitare accumulo di placca.
Come capire se hai bisogno di un’otturazione
Anche in assenza di dolore, è essenziale:
- Effettuare una visita odontoiatrica di controllo ogni 6 mesi
- Prestare attenzione a cambiamenti di colore, forma o sensibilità dei denti
- Non ignorare piccoli fastidi o fratture
Solo il dentista può confermare la necessità di un’otturazione dopo una valutazione accurata.
Prevenzione: il ruolo dell’igiene orale
Per ridurre il rischio di dover ricorrere a otturazioni:
Effettuare pulizie professionali regolar
Lavare i denti almeno 2 volte al giorno con spazzolino e dentifricio al fluoro
Usare filo interdentale o scovolini
Ridurre zuccheri e cibi appiccicosi
Conclusioni
L’otturazione dentale è un trattamento sicuro ed efficace per curare la carie nelle sue fasi precoci e riparare piccoli danni ai denti. Intervenire tempestivamente permette di evitare complicazioni più serie come devitalizzazioni o estrazioni. Se noti sintomi sospetti o manchi da tempo da una visita odontoiatrica, prenotare un controllo è il primo passo per proteggere il tuo sorriso. Chiamaci allo 011/4335573 e prenota la tua visita.
Riproduzione riservata ©

