Introduzione
I tumori del cavo orale rappresentano una forma di malattia che interessa la bocca e le sue strutture, come lingua, gengive, palato e interno delle guance. Anche se spesso se ne parla poco rispetto ad altre tipologie di tumore, la loro diffusione non è trascurabile e la prevenzione gioca un ruolo fondamentale. Comprendere come nascono e quali sono le cause principali è il primo passo per sviluppare maggiore consapevolezza e adottare comportamenti più sicuri.

Che cosa sono i tumori del cavo orale
Quando si parla di tumori del cavo orale si fa riferimento a una crescita anomala di cellule all’interno della bocca. In condizioni normali, le cellule si sviluppano e si rinnovano seguendo un equilibrio ben preciso. A volte, però, questo meccanismo può alterarsi e alcune cellule iniziano a moltiplicarsi senza controllo, dando origine a una massa anomala.

Questa crescita può inizialmente essere molto piccola e poco evidente, ma con il tempo può espandersi e coinvolgere i tessuti circostanti. Le aree più frequentemente interessate sono la lingua, il pavimento della bocca e le gengive, anche se nessuna zona è completamente esclusa.
Come nasce un tumore nella bocca
La formazione di un tumore è un processo graduale che avviene nel corso del tempo. Tutto inizia da piccole modifiche nel comportamento delle cellule, che smettono di seguire le normali regole di crescita. Questi cambiamenti non avvengono all’improvviso, ma sono il risultato di un accumulo di danni nel corso degli anni.

Le cellule della bocca sono continuamente esposte a fattori esterni come cibi, bevande e sostanze presenti nell’aria. Alcuni di questi elementi possono danneggiare il materiale genetico delle cellule. Quando il danno non viene riparato correttamente, le cellule possono iniziare a funzionare in modo anomalo.

Col passare del tempo, queste cellule alterate possono diventare sempre più numerose e formare una lesione visibile. In una fase iniziale può trattarsi di una macchia o di una piccola ulcera che non guarisce. Se non individuata e trattata, la situazione può evolvere verso una forma più seria.
Le principali cause dei tumori del cavo orale
Tra i fattori che contribuiscono allo sviluppo dei tumori della bocca, alcuni sono particolarmente rilevanti perché agiscono in modo diretto sulle cellule. Il fumo è una delle cause più importanti. Le sostanze contenute nel tabacco entrano in contatto diretto con i tessuti della bocca, irritandoli e favorendo nel tempo la comparsa di alterazioni cellulari. Anche l’alcol ha un ruolo significativo, soprattutto quando viene consumato in quantità elevate e per lunghi periodi. L’effetto combinato di fumo e alcol aumenta ulteriormente il rischio.

Un altro elemento da considerare è l’igiene orale. Una bocca non curata può diventare un ambiente favorevole per infiammazioni croniche, che a lungo andare possono contribuire allo sviluppo di lesioni sospette. Anche denti danneggiati o protesi non ben adattate possono provocare irritazioni continue.

Negli ultimi anni si è parlato sempre di più del ruolo di alcune infezioni virali. In particolare, alcuni virus possono interferire con il normale funzionamento delle cellule, aumentando la probabilità che si sviluppino anomalie.
Fattori di rischio e stile di vita
Oltre alle cause dirette, esistono condizioni che rendono più probabile la comparsa di un tumore del cavo orale. L’età è uno di questi fattori, poiché il rischio tende ad aumentare con il passare degli anni. Tuttavia, negli ultimi tempi si osservano casi anche in persone più giovani. L’alimentazione gioca un ruolo importante. Una dieta povera di frutta e verdura può ridurre l’apporto di sostanze protettive per l’organismo. Allo stesso modo, uno stile di vita caratterizzato da stress e scarsa attenzione alla salute generale può influire negativamente.

L’esposizione prolungata al sole, soprattutto per le labbra, è un altro elemento spesso sottovalutato. Le labbra fanno parte del cavo orale e possono essere colpite da danni legati ai raggi solari.

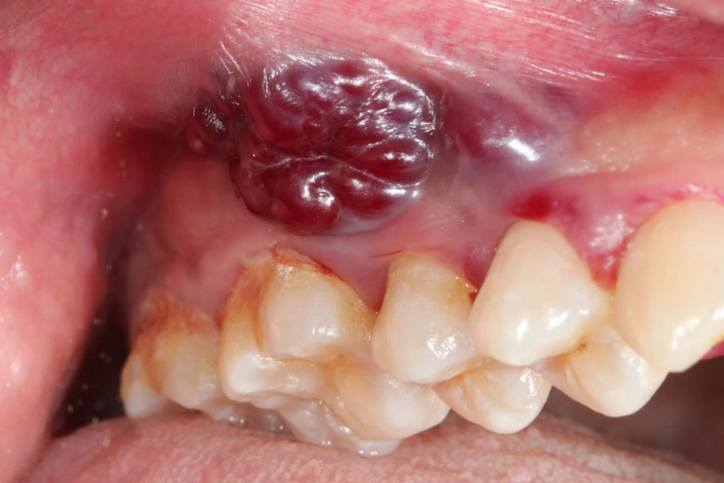
I segnali da non sottovalutare
Uno degli aspetti più importanti riguarda la capacità di riconoscere i segnali precoci. I tumori del cavo orale, nelle fasi iniziali, possono manifestarsi con sintomi apparentemente innocui.
Una piaga che non guarisce, una macchia bianca o rossa, un ispessimento della mucosa o una sensazione persistente di dolore possono essere segnali da osservare con attenzione. Anche difficoltà nella masticazione o nel parlare meritano un approfondimento, soprattutto se persistono nel tempo. Intervenire precocemente aumenta in modo significativo le possibilità di trattamento efficace.
L’importanza della prevenzione
La prevenzione è lo strumento più efficace per ridurre il rischio di sviluppare un tumore del cavo orale. Evitare il fumo, limitare il consumo di alcol e mantenere una buona igiene orale sono abitudini fondamentali.
Le visite regolari dal dentista permettono di individuare eventuali anomalie in fase precoce. Un controllo periodico può fare la differenza, perché consente di intervenire prima che una lesione si trasformi in qualcosa di più serio.
Anche l’attenzione allo stile di vita, come una dieta equilibrata e la protezione delle labbra dal sole, contribuisce a mantenere la salute della bocca nel tempo.
Conclusione
I tumori del cavo orale non si sviluppano improvvisamente, ma sono il risultato di un insieme di fattori che agiscono nel tempo. Conoscere le cause e i comportamenti a rischio aiuta a ridurre le probabilità di insorgenza e a riconoscere eventuali segnali precoci.
Una maggiore consapevolezza, unita a controlli regolari e a scelte quotidiane più attente, rappresenta la base per proteggere la salute della bocca e dell’intero organismo.
Riproduzione riservata ©

